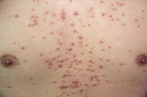
生活中有很多人在受着毛囊炎的困扰,影响着她们的身体健康,所以要做到早发现早治疗,才能将危害降到低。此病在临床上有一些特点,下面就为大家介绍毛囊炎患者的临床特点。
特点一、好发人群:糖尿病、贫血患者多见。
特点二、好发部位:头面颈、四肢及臀部 。成人的多毛部位;小儿则多发于头发部位,愈后可留下小片秃发。
特点三、皮损特点:初起为红色充实性丘疹,以后顶端迅速发展成丘疹性脓疮,继而干燥、结痂,痂脱不留痕迹。可分批出现,互不融合
特点四、自觉症状:痒 。头部毛囊炎会刺激发根引起剧烈疼痛。
特点五、愈后:易复发,一般愈后不留瘢痕。
以上就是介绍毛囊炎症状特点的知识,如还有相关问题请咨询明德中医院皮肤病专家,祝您早日康复。

特点一、好发人群:糖尿病、贫血患者多见。
特点二、好发部位:头面颈、四肢及臀部 。成人的多毛部位;小儿则多发于头发部位,愈后可留下小片秃发。
特点三、皮损特点:初起为红色充实性丘疹,以后顶端迅速发展成丘疹性脓疮,继而干燥、结痂,痂脱不留痕迹。可分批出现,互不融合
特点四、自觉症状:痒 。头部毛囊炎会刺激发根引起剧烈疼痛。
特点五、愈后:易复发,一般愈后不留瘢痕。
以上就是介绍毛囊炎症状特点的知识,如还有相关问题请咨询明德中医院皮肤病专家,祝您早日康复。
上一篇:初期毛囊炎的症状特点表现
下一篇:毛囊炎初期的症状表现
好技术







