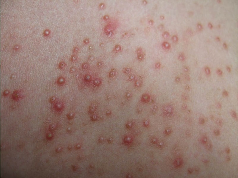
都知道毛囊炎是一种皮肤病,也有很多人不在意,毛囊炎是毛囊的炎症发起体现在皮肤表层的一种疾病,这种疾病的危害还是很多的,不仅会对人的美观产生影响也会对生活带来不方便,不仅仅是这些表面的东西,毛囊炎虽小但是他的危害可是不会小的。以下详细介绍下毛囊炎的危害。
1、毛囊炎可反复发作形成慢性毛囊炎
2、发生于头皮可引起永久性脱发,发生于项部者,皮损呈乳头状增生或成瘢痕硬节,不易完成治疗
3、毛囊炎向深部发展,可引起毛囊周围炎,称为疖,多发且反复发作的疖称为疖病,严重者可有淋巴结肿大、发热、头痛,甚至引起脓毒血症或败血症
4、如果挤压位于鼻、口唇部位的疖肿,可使病菌经血行进入颅内,引起化脓性血栓性静脉炎或脑脓肿,可导致死亡。

1、毛囊炎可反复发作形成慢性毛囊炎
2、发生于头皮可引起永久性脱发,发生于项部者,皮损呈乳头状增生或成瘢痕硬节,不易完成治疗
3、毛囊炎向深部发展,可引起毛囊周围炎,称为疖,多发且反复发作的疖称为疖病,严重者可有淋巴结肿大、发热、头痛,甚至引起脓毒血症或败血症
4、如果挤压位于鼻、口唇部位的疖肿,可使病菌经血行进入颅内,引起化脓性血栓性静脉炎或脑脓肿,可导致死亡。
上一篇:没有了
下一篇:小小毛囊炎 大家切勿不可掉以轻心
好技术







